地下鉄日比谷線「入谷」駅 4番出口より徒歩30秒

すずき歯科
平日夜9時まで診療03-3872-4184
診療時間表

※日曜日の診療は9:00~14:00となります。
休診マーク は休診となります。

地域の皆様に安心安全の歯科治療を「平日土曜夜9時までまで診療」

矯正歯科症例紹介

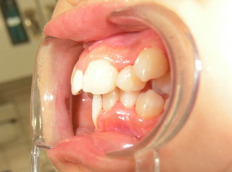
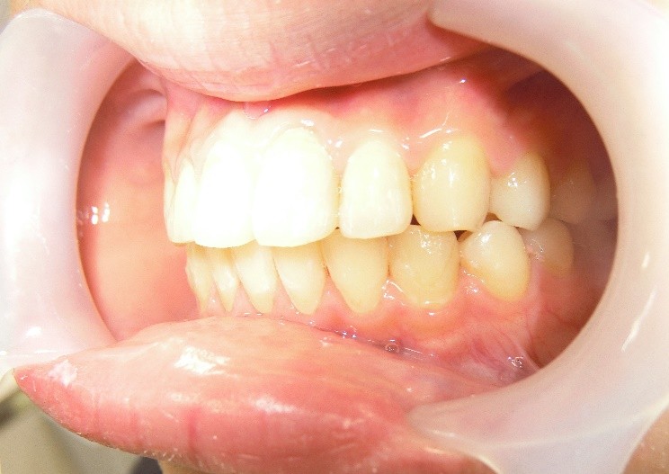
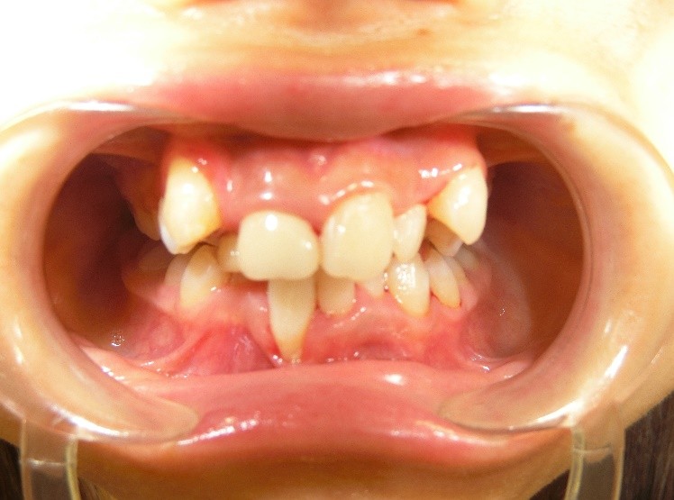
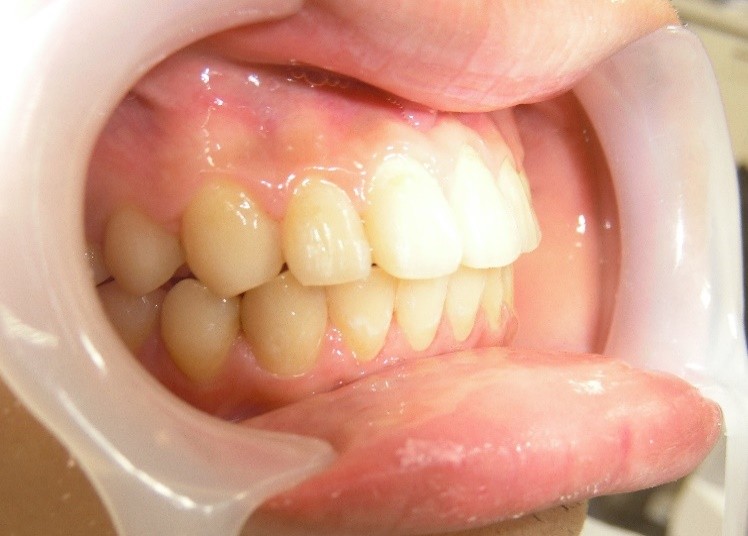
症例1

BEFORE

AFTER

性  別:女性
年  齢:23歳
治療方法:ワイヤーにて治療
治療期間:2年6か月

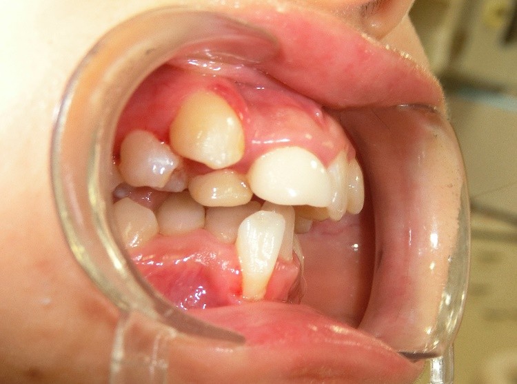
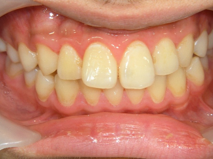
症例2

BEFORE

AFTER

性  別:男性
年  齢:17歳
治療方法:ワイヤーにて治療
治療期間:1年10か月

すずき歯科

電話
03-3872-4184
住所
東京都台東区下谷2丁目15−4
エクセル入谷2号館 1F
※東京メトロ日比谷線「入谷」駅、4番出口(北千住方面ホーム)より徒歩30秒
※駐車場は御座いません。お車でお越しの際は近隣のコインパーキングをご利用下さい。
地図はこちら
診療時間
平日:夜9時まで診療

※日曜日の診療は9:00~14:00となります。
は休診となります。
休診日
火曜午前・水曜・
日曜午後・祝日